
Heel spurs are bony growths that develop on the heel bone due to long-term strain on foot muscles and ligaments. They often form where the plantar fascia connects to the heel, causing discomfort and inflammation. Common causes include repetitive stress, wearing improper footwear, and prolonged standing. Risk factors such as flat feet, obesity, and age can increase the likelihood of developing them. There are two main types. Plantar heel spurs located under the heel and dorsal heel spurs form on the back near the Achilles tendon. Symptoms include sharp pain, tenderness, or stiffness. A podiatrist can diagnose heel spurs through an examination and imaging tests, and provide treatments that reduce pain and improve mobility. If you have heel pain, it is suggested that you schedule a visit with a podiatrist for an accurate diagnosis and treatment.
Heel spurs can be incredibly painful and sometimes may make you unable to participate in physical activities. To get medical care for your heel spurs, contact Brain Middleton, DPM from Medical Foot Care Center. Our doctor will do everything possible to treat your condition.
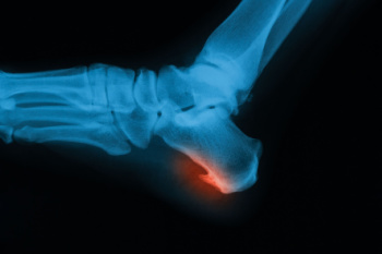
Heels Spurs
Heel spurs are formed by calcium deposits on the back of the foot where the heel is. This can also be caused by small fragments of bone breaking off one section of the foot, attaching onto the back of the foot. Heel spurs can also be bone growth on the back of the foot and may grow in the direction of the arch of the foot.
Older individuals usually suffer from heel spurs and pain sometimes intensifies with age. One of the main condition's spurs are related to is plantar fasciitis.
Pain
The pain associated with spurs is often because of weight placed on the feet. When someone is walking, their entire weight is concentrated on the feet. Bone spurs then have the tendency to affect other bones and tissues around the foot. As the pain continues, the feet will become tender and sensitive over time.
Treatments
There are many ways to treat heel spurs. If one is suffering from heel spurs in conjunction with pain, there are several methods for healing. Medication, surgery, and herbal care are some options.
If you have any questions, please feel free to contact our office located in Rome, GA . We offer the newest diagnostic and treatment technologies for all your foot care needs.

A podiatrist is a medical specialist who diagnoses and treats conditions affecting the feet and ankles. They provide care for issues such as diabetic foot complications, heel pain, bunions, nail disorders, and create custom orthotics to improve comfort and mobility. Podiatrists are also trained in foot and ankle surgery when conservative treatments are not effective. During an initial consultation, this type of doctor can perform a physical exam, review medical history, and may use imaging tests to make an accurate diagnosis. A personalized treatment plan is then developed to relieve pain and restore function. If you have developed a foot condition, it is suggested that you consult a podiatrist who can provide the treatment that is best for you.
If you are dealing with pain in your feet and ankles, you may want to seek help from a podiatrist. Feel free to contact Brain Middleton, DPM from Medical Foot Care Center. Our doctor can provide the care you need to keep you pain-free and on your feet.
What Is a Podiatrist?
A podiatrist is a doctor of podiatric medicine who diagnoses and treats conditions of the foot, ankle, and related structures of the leg. Your podiatrist may specialize in a certain field such as sports medicine, wound care, pediatrics, and diabetic care. Podiatrists have the ability to become board certified through training, clinical experience, and then taking an exam.
What Do Podiatrists Do?
On a daily basis, a podiatrist may perform the following activities:
- Diagnose foot ailments such as ulcers, tumors, fractures, etc.
- Use innovative methods to treat conditions
- Use corrective orthotics, casts, and strappings to correct deformities
- Correct walking patterns and balance
- Provide individual consultations to patients
It is very important that you take care of your feet. It’s easy to take having healthy feet for granted, however foot problems tend to be among the most common health conditions. Podiatrists can help diagnose and treat a variety of feet related conditions, so it is crucial that you visit one if you need assistance.
If you have any questions, please feel free to contact our office located in Rome, GA . We offer the newest diagnostic and treatment technologies for all your foot care needs.

Cracked heels are a common and often painful condition among women, caused by a combination of dry skin, prolonged standing, and hormonal changes. During menopause, reduced estrogen levels can decrease skin elasticity and moisture, leading to thick, dry, or cracked skin around the heels. An autoimmune disorder called Sjögren’s syndrome affects moisture producing glands, causing dryness that contributes to heel fissures. The use of harsh soaps or walking barefoot may worsen the problem. A podiatrist can gently remove thickened skin, recommend moisturizing treatments, suggest proper footwear, and manage underlying causes to restore healthy skin. If you have cracked heels, it is suggested that you consult a podiatrist who can offer you effective treatment solutions, which may include prescribed medication.
Cracked heels are unsightly and can cause further damage to your shoes and feet. If you have any concerns, contact Brain Middleton, DPM from Medical Foot Care Center. Our doctor can provide the care you need to keep you pain-free and on your feet.
Cracked Heels
Cracked heels appear unappealing and can make it harder for you walk around in sandals. Aside from looking unpleasant, cracked heels can also tear stockings, socks, and wear out your shoes. There are several methods to help restore a cracked heel and prevent further damage.
How Do You Get Them?
Dry skin is the number one culprit in creating cracked heels. Many athletes, walkers, joggers, and even swimmers suffer from cracked heels. Age and skin oil production play a role to getting cracked heels as well.
Promote Healing
Over the counter medicines can help, especially for those that need instant relief or who suffer from chronic dry feet.
Wear Socks – Wearing socks with medicated creams helps lock in moisture.
Moisturizers – Applying both day and night will help alleviate dryness which causes cracking.
Pumice Stones – These exfoliate and remove dead skin, which allows for smoother moisturizer application and better absorption into the skin.
Change in Diet
Eating healthy with a well-balanced diet will give the skin a fresh and radiant look. Your body responds to the kinds of food you ingest. Omega-3 fatty acids and zinc supplements can also revitalize skin tissue.
Most importantly, seek professional help if unsure how to proceed in treating cracked heels. A podiatrist will help you with any questions or information needed.
If you have any questions, please feel free to contact our office located in Rome, GA . We offer the newest diagnostic and treatment technologies for all your foot care needs.

An ingrown toenail occurs when the edge of the toenail grows into the surrounding skin, most often affecting the big toe. Common causes include improper nail trimming, wearing tight footwear, injury, or genetic factors. Symptoms may begin with mild tenderness and progress to redness, swelling, pain, and sometimes infection with pus or drainage. The toe may feel warm and sore to the touch, making walking or wearing shoes uncomfortable. Infections can worsen without treatment, especially for individuals with diabetes or poor circulation. A podiatrist can diagnose an ingrown toenail through a simple exam and determine the best course of treatment. Conservative care may involve lifting the nail edge, or prescribing antibiotics if infection is present. In more severe or recurring cases, a minor in-office procedure can remove part or all of the affected nail. It is suggested that you schedule an appointment with a podiatrist if you experience ongoing pain, swelling, or signs of infection related to your toenail.
Ingrown toenails may initially present themselves as a minor discomfort, but they may progress into an infection in the skin without proper treatment. For more information about ingrown toenails, contact Brain Middleton, DPM of Medical Foot Care Center. Our doctor can provide the care you need to keep you pain-free and on your feet.
Ingrown Toenails
Ingrown toenails are caused when the corner or side of a toenail grows into the soft flesh surrounding it. They often result in redness, swelling, pain, and in some cases, infection. This condition typically affects the big toe and may recur if it is not treated properly.
Causes
- Improper toenail trimming
- Genetics
- Improper shoe fitting
- Injury from pedicures or nail picking
- Abnormal gait
- Poor hygiene
You are more likely to develop an ingrown toenail if you are obese, have diabetes, arthritis, or have any fungal infection in your nails. Additionally, people who have foot or toe deformities are at a higher risk of developing an ingrown toenail.
Symptoms
Some symptoms of ingrown toenails are redness, swelling, and pain. In rare cases, there may be a yellowish drainage coming from the nail.
Treatment
Ignoring an ingrown toenail can have serious complications. Infections of the nail border can progress to a deeper soft-tissue infection, which can then turn into a bone infection. You should always speak with your podiatrist if you suspect you have an ingrown toenail, especially if you have diabetes or poor circulation.
If you have any questions, please feel free to contact our office located in Rome, GA . We offer the newest diagnostic and treatment technologies for all your foot care needs.
